Tháo tạm mắc cài được không? Tháo tạm mắc cài có ảnh hưởng gì không? Trong bài viết ngày hôm nay, chúng tôi sẽ làm rõ vấn đề này. Bởi hầu hết khách hàng niềng răng đều mong chờ đến khoảnh khắc được tháo mắc cài sau khoảng 1,5 đến 2,5 năm điều trị.
Lý do khách hàng muốn tháo tạm mắc cài
Trong quá trình chỉnh nha sẽ gắn mắc cài thời gian thường từ 1,5 đến 2,5 năm. Tuy nhiên, việc đeo mắc cài dẫn tới ảnh hưởng trong cuộc sống vào một số hạng mục sau:
Cưới hỏi
Đây là một sự kiện hết sức quan trọng trong cuộc đời nên bất kỳ ai cũng mong muốn có được diện mạo đẹp nhất, đặc biệt là các bạn nữ. Nhiều khách hàng mong muốn tháo tạm mắc cài để có được một bộ ảnh cưới thật đẹp và tự tin trong ngày trọng đại này.

Ăn Tết
Nhiều khách hàng cho rằng Tết là dịp để ăn uống thoả thích và đi chơi đó đây. Chính vì vậy, họ muốn tháo tạm mắc cài trong những ngày này.
Đi xa – du học nước ngoài
Đây là một trong những lí do gần như bất khả kháng. Ít khách hàng có thể tiếp tục điều trị chỉnh nha ở nước ngoài, nên họ muốn tháo tạm mắc cài trong thời gian đi xa hoặc thậm trí tháo mắc cài sớm để kết thúc điều trị.
Tháo tạm mắc cài được không?
Bác sĩ chuyên khoa răng hàm mặt tại Lạc Việt Intech giải đáp thắc mắc tháo tạm mắc cài có được không? Mời quý khách cùng tìm hiểu chi tiết cụ thể:
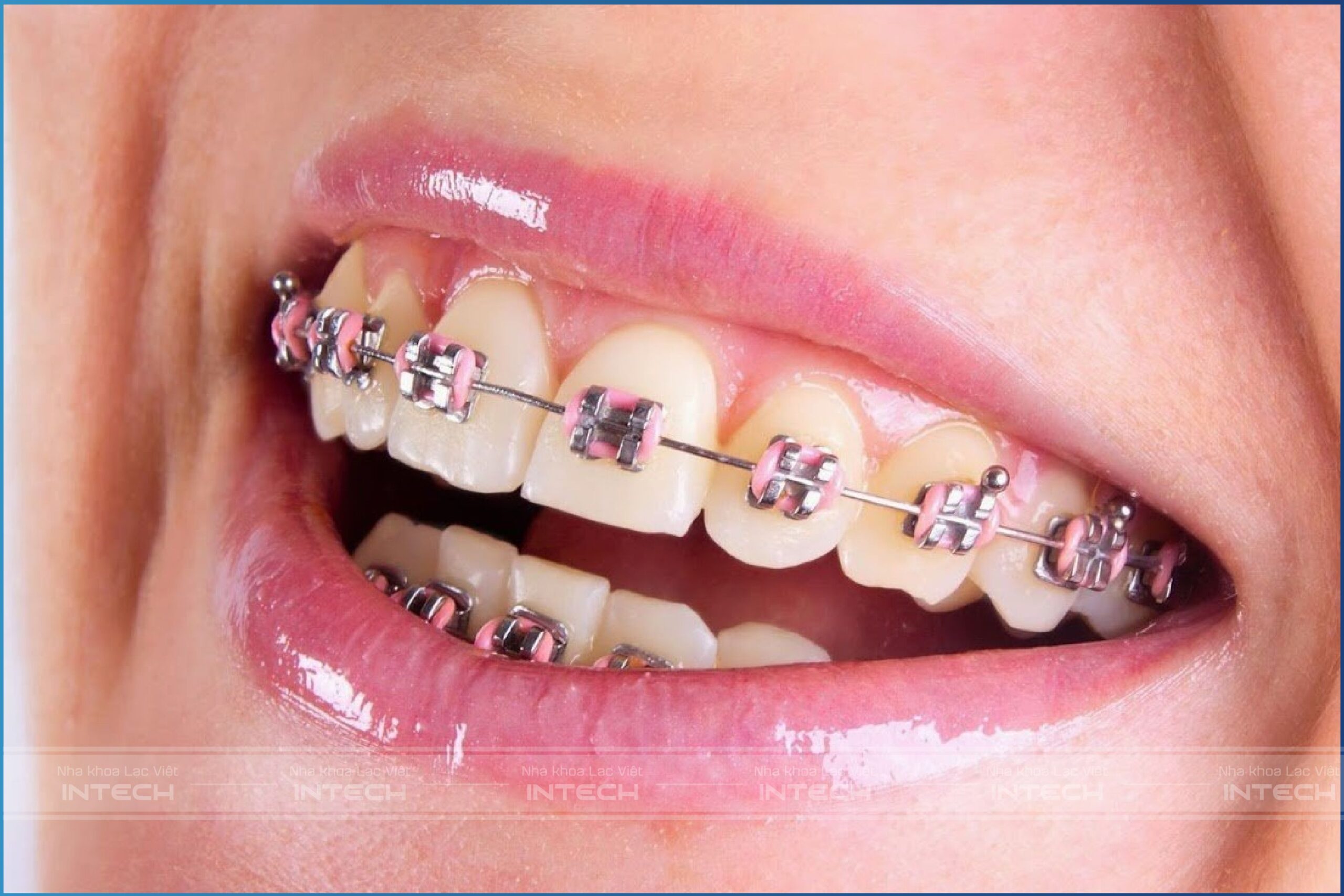
Niềng răng bằng mắc cài mặt ngoài
Niềng răng mắc cài mặt ngoài thường khiến khách hàng kém tự tin khi giao tiếp, đặc biệt là trong những ngày trọng đại của cuộc đời.

Trên thực tế, khách hàng hoàn toàn có thể tháo tạm mắc cài trong một thời gian ngắn từ 1 ngày đến 1 tuần.
Tuy nhiên, đối với những trường hợp sử dụng mắc cài sứ, quá trình tháo có thể làm gãy, vỡ và hỏng mắc cài. Những trường hợp này, bạn phải mua mắc cài thay thế bởi vì mỗi bệnh nhân chỉ có một bộ mắc cài riêng.
Mắc cài kim loại có độ bền cao hơn, nên những người niềng răng bằng loại mắc cài này sẽ không tốn thêm chi phí.
Niềng răng bằng mắc cài mặt lưỡi
Thông thường, những trường hợp niềng răng mặt lưỡi này hiếm khi phải tháo tạm mắc cài vì những lí do như cưới hỏi hay ăn Tết. Nguyên nhân là do loại mắc cài này khá thẩm mỹ, người đối diện không thể biết được bạn đang niềng răng.

Trong trường hợp phụ nữ mang bầu, quá trình thai nghén và mắc cài, khí cụ mặt lưỡi có thể khiến họ bị viêm lợi, nha chu nhiều do sự thay đổi hormon và khó vệ sinh. Bên cạnh đó, mắc cài mặt lưỡi còn khiến mẹ bầu ốm nghén nặng hơn, tăng nôn ói gây ảnh hưởng đến dinh dưỡng mẹ và bé. Tháo tạm mắc cài trong những trường hợp trên là cần thiết. Tuy nhiên, quá trình chỉnh nha sẽ bị gián đoạn và kéo dài thời gian điều trị.
3 trường hợp ảnh hưởng có tháo tạm mắc cài
Trường hợp 1: Trường hợp chỉ tháo tạm mắc cài trong vài ngày và có đeo máng duy trì thì các răng sẽ nằm đúng vị trí như khi vừa tháo tạm, khớp cắn không bị xáo trộn và thời gian điều trị cũng không bị kéo dài thêm.
Trường hợp 2: Trường hợp tháo tạm mắc cài trong thời gian dài, mặc dù đã đeo hàm duy trì nhưng vì răng vẫn chưa ổn định trong xương ổ răng và khớp cắn hai hàm chưa được lồng múi tốt. Bệnh nhân sẽ gặp nhiều khó khăn khi ăn nhai và cung răng 2 hàm vẫn có thể gặp những xáo trộn nhỏ, gây khó khăn khi điều trị tiếp.
Trường hợp 3: Trường hợp tháo tạm mắc cài và không đeo duy trì theo chỉ định sẽ gây ra rất nhiều hậu quả nghiêm trọng như:
- Răng yếu do chưa được lồng múi, gây tình trạng sang chấn khớp cắn nặng
- Răng chạy lộn xộn do không có hàm duy trì
- Tiêu xương, tụt lợi do răng còn chưa ổn định đã phải chịu lực ăn nhai mạnh
- Gây khó khăn cho quá trình điều trị chỉnh nha tiếp
- Kéo dài thời gian điều trị – không chỉ tăng thêm thời gian do tháo tạm mà còn phải xử lý thêm những tình trạng không mong muốn do răng tự dịch chuyển tự do.
04 lưu ý khi tháo tạm mắc cài – Bác sĩ Lạc Việt Intech chia sẻ
Để tránh bị kéo dài thời gian điều trị và các chi phí phát sinh khi tháo tạm mắc cài, bạn nên lưu ý những điều sau đây:
- Thông báo với bác sĩ điều trị chỉnh nha về những dự định của bạn trong tương lai gần như cưới hỏi, mang thai, đi xa. … (trong vòng 1,5 năm đến 2 năm) để bác sĩ đưa ra những lời khuyên về lựa chọn phương pháp và sắp xếp kế hoạch điều trị phù hợp.
- Nếu vẫn muốn niềng răng và có dự định cưới hoặc mang thai trong thời gian gần, bạn nên lựa chọn mắc cài kim loại mặt ngoài để tránh việc gãy vỡ mắc cài (khi đeo mắc cài sứ) hoặc khó chịu trong thời kỳ thai nghén (đeo mắc cài mặt lưỡi).
- Tuân thủ đeo hàm duy trì trong khi tháo tạm mắc cài để đảm bảo được kết quả chỉnh nha và không làm kéo dài thời gian điều trị
- Gắn lại mắc cài theo đúng chỉ định của bác sĩ, tránh tháo tạm mắc cài quá lâu.
Trên đây là phần giải đáp kiến thức thông tin phần tháo tạm mắc cài được không? Nếu bạn còn vướng mắc thông tin gì bạn vui lòng gọi đến Hotline: 096.192.0606 hoặc truy cập vào Website: lacvietintech.vn để biết thêm thông tin chi tiết
Xem thêm: Bảng Giá Dịch Vụ Niềng Răng – Nha khoa Lạc Việt Intech. Thông tin chi tiết và các gói khuyến mại theo vị trí từng cơ sở, thời gian đăng ký tái khám và theo từng loại mắc cài sử dụng.













