Lệch khớp cắn là tình trạng phổ biến ở những người có thói quen xấu với răng miệng. Vậy đâu là nguyên nhân lệch khớp cắn? Làm thế nào để nhận biết tình trạng này? Hãy cùng tìm hiểu 6 thói quen sai lầm dẫn đến lệch khớp cắn qua bài viết sau đây!
Mục lục bài viết
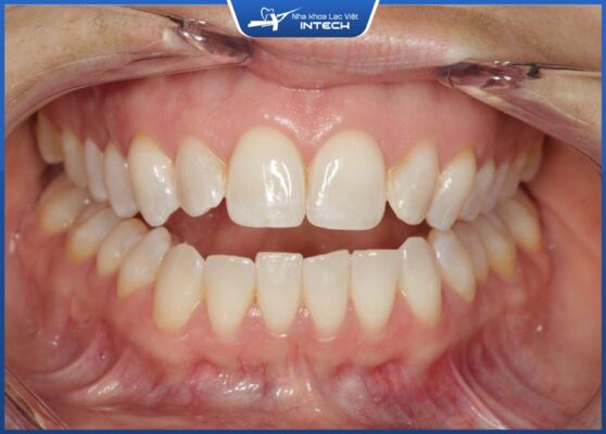
ToggleLệch khớp cắn là gì?
Khớp cắn là sự tương quan giữa các răng hàm trên và hàm dưới, bao gồm cả tỉ lệ cân xứng và diện tích tiếp xúc ở trạng thái nghỉ và khi ăn nhai của răng. Thông thường, một hàm răng đẹp phải đạt tiêu chuẩn cân đối giữa 2 hàm, kích thước giữa các răng hài hòa, tự nhiên mới được coi là khớp cắn chuẩn.

Lệch khớp cắn là tình trạng mặt nhai của các răng hàm trên và hàm dưới không khớp với nhau. Các răng trên cung hàm mọc chen chúc, không thẳng hàng gây ảnh hưởng tới chức năng ăn nhai, khả năng phát âm và tính thẩm mỹ. Đồng thời khiến cho bạn gặp khó khăn trong quá trình vệ sinh răng miệng.
Dưới đây là một số dấu hiệu nhận biết bạn có bị lệch khớp cắn hay không:
- Răng mọc chen chúc, không thẳng hàng, đặc biệt là khi cắn xuống sẽ thấy sự lệch lạc rõ.
- Thường xuyên bị cắn vào má và lưỡi khi nhai, cảm thấy mỏi hàm khi nhai thức ăn.
- Có vấn đề về phát âm, gặp khó khăn khi nói chuyện.
- Không thể ngậm miệng và khép kín hai hàm, có trường hợp thường thở bằng miệng thay vì mũi.
Nếu như bạn gặp phải bất kỳ một trong những hiện tượng trên thì hãy đến trực tiếp nha khoa để được bác sĩ thăm khám và xác định tình trạng sai lệch khớp cắn nhé!
>> Xem thêm: TOP 5 ca điều trị lệch khớp cắn sâu, hở, đối đỉnh thành công
Những thói quen sai lầm dẫn đến lệch khớp cắn
Nguyên nhân dẫn đến tình trạng lệch khớp cắn thường do một số thói quen từ nhỏ ở nhiều người. Dưới đây là những thói quen sai lầm dẫn đến lệch khớp cắn bạn cần sửa ngay.
Mút ngón tay
Mút ngón tay là phản xạ sinh lý của trẻ sơ sinh, hình thành trong thời kỳ bào thai và cũng là thói quen thường gặp nhất. Theo nghiên cứu, có khoảng 30 – 50% trẻ em ở độ tuổi 3 – 6 tuổi có thói quen mút tay và thậm chí không thể bỏ được ngay cả khi đã 6 – 7 tuổi.

Thói quen mút tay gây ảnh hưởng nghiêm trọng đến sự phát triển khớp cắn ở trẻ. Dấu hiệu thường gặp là các răng cửa chìa ra phía trước và răng cửa dưới nghiêng về do tì đè của ngón tay.
Bú bình
Cũng giống như mút ngón tay, thói quen bú bình hay ngậm ti giả ở trẻ cũng là một trong những nguyên nhân gây sai lệch khớp cắn nghiêm trọng. Biểu hiện sai lệch khớp cắn từ thói quen bú bình đó chính là cắn hở vùng răng cửa, răng không thể khép lại ở trạng thái nghỉ.
Khớp cắn hở không chỉ khiến cho trẻ gặp khó khăn khi ăn nhai mà còn ảnh hưởng tới việc phát âm của trẻ sau này.
Thói quen đẩy lưỡi
Đẩy lưỡi là hoạt động bất thường ở nhiều trẻ em. Thói quen đưa lưỡi đẩy ra trước, tùy vào các răng cửa hoặc lưỡi nằm giữa răng cửa hàm trên và răng cửa hàm dưới khi nuốt hoặc phát âm sẽ làm răng cửa di chuyển ra phía trước. Điều này cũng sẽ dẫn đến tình trạng cắn hở vùng răng trước.

Chính vì vậy, phụ huynh cần để ý con trẻ để kịp thời phát hiện và xử lý trước khi trước khi dẫn đến tình trạng sai lệch khớp cắn. Nếu bạn nhìn thấy các răng cửa hai hàm của trẻ không cắn được khít với nhau hoặc không cắn được thức ăn khi sử dụng răng cửa thì hãy đến nha khoa để được bác sĩ thăm khám và tư vấn.
Thở hở
Thở hở bằng miệng là một thói quen thường gặp ở trẻ do tắc nghẽn đường hô hấp như viêm mũi, viêm họng. Thói quen này nếu không sửa đổi sẽ gây ảnh hưởng tới sự tăng trưởng của xương hàm, hình dạng sọ và sức khỏe của trẻ nhỏ. Bên cạnh đó, thói quen thở hở cũng sẽ gây sai lệch khớp cắn, biểu hiện rõ nhất là khuôn mặt dài, miệng hẹp, môi không khép kín, cười hở lợi, răng trước hàm trên nhô ra…
Đối với trường hợp này, phụ huynh cần đưa con đến bệnh viện để bác sĩ thăm khám và điều trị dứt điểm tình trạng bệnh. Đồng thời, hãy điều chỉnh thói quen thở của trẻ để ngăn chặn các nguy cơ sai lệch khớp cắn và giúp trẻ có sức khỏe ổn định.
Thói quen xấu ở môi
Đây là thói quen thường gặp ở cả người lớn và trẻ nhỏ, thường xảy ra ở môi dưới. Người có thói quen mút môi thường có biểu hiện môi dưới nằm gọn giữa răng hàm trên và hàm dưới, môi dưới sẽ bị in hằn dấu răng.
Đây là thói quen xấu gây ảnh hưởng tới răng, khiến cho răng cửa bị thưa, chen chúc và răng cửa hàm dưới đổ vào phía lưỡi.

Tật nghiến răng
Những người có tật nghiến răng khi ngủ nếu như không sửa đổi thì lâu dần sẽ dẫn đến tình trạng rối loạn khớp hàm. Điều này thể hiện thông qua triệu chứng mỏi cơ khi ăn nhai, nặng mặt, căng 2 bên mang tai. Bên cạnh đó, thói quen nghiến răng còn có thể khiến cho khớp cắn bị lệch, bệnh nhân gặp khó khăn khi ăn nhai.
Cách ngăn ngừa thói quen gây lệch khớp cắn
Để ngăn chặn tình trạng lệch khớp cắn, bạn cần để ý đến những thói quen bất thường ở trẻ để có biện pháp sửa đổi kịp thời.

- Hạn chế tối đa việc sử dụng bình sữa khi trẻ đã ở độ tuổi có thể ăn dặm.
- Cho trẻ dùng hàm trainer để thay đổi những thói quen đẩy lưỡi, mút tay… (lưu ý cần có sự chỉ định của bác sĩ).
- Ngay khi trẻ mọc răng sữa, bố mẹ cần cho trẻ đến nha khoa để được bác sĩ thăm khám định kỳ và phát hiện kịp thời các bất thường của răng.
- Xây dựng chế độ dinh dưỡng hợp lý cho trẻ nhỏ, đặc biệt là trong giai đoạn xương hàm phát triển.
- Điều trị triệt để các bệnh lý gây ảnh hưởng tới khả năng thở của trẻ.
- Ngay khi phát hiện trẻ gặp tình trạng sai lệch khớp cắn, phụ huynh cần đưa trẻ tới gặp nha sĩ để được điều trị kịp thời.
Đối với người lớn, cần bỏ ngay các thói quen sai lầm dẫn đến lệch khớp cắn như nghiến răng. Hãy xây dựng một lối sống lành mạnh, làm việc khoa học, ngủ đủ giấc để giảm thiểu stress gây nghiến răng khi ngủ.
Các phương pháp khắc phục sai lệch khớp cắn
Hiện nay, có 2 phương pháp khắc phục tình trạng sai lệch khớp cắn đó chính là niềng răng và phẫu thuật hàm.
Niềng răng
Niềng răng là giải pháp tối ưu giúp khắc phục mọi tình trạng sai lệch khớp cắn do răng như: hô, móm, khấp khểnh, khớp cắn hở, cắn chéo… Với phương pháp niềng răng sai khớp cắn, bác sĩ sẽ sử dụng hệ thống mắc cài, dây cung để dịch chuyển các răng về đúng vị trí.

Hiện nay, với sự phát triển của ngành nha khoa hiện đại, công nghệ niềng răng X-Matrix là một trong những bước tiến lớn giúp hỗ trợ bác sĩ trong quá trình chẩn đoán và điều trị. Niềng răng X-Matrix mang đến hiệu quả điều trị hoàn hảo nhờ cá nhân hóa mắc cài.

Công nghệ số có khả năng mô phỏng chính xác hình thể răng, hướng xoay lực để từ đó xác định vị trí gắn mắc cài, giúp răng di chuyển thuận lợi. Quá trình dịch chuyển răng được mô phỏng thông qua hình ảnh 3D, cho phép xem trước được kết quả đồng thời tính toán lực chính xác giúp giảm đau trong quá trình niềng răng.
Với những hiệu quả mà phương pháp này đem lại, niềng răng được các chuyên gia khuyên dùng để khắc phục tình trạng sai lệch khớp cắn, giúp cho bệnh nhân sở hữu nụ cười tự tin.
Phẫu thuật hàm
Với các trường hợp sai lệch khớp cắn nặng hoặc quá phát xương hàm trên, hàm dưới thì giải pháp tốt nhất đó chính là phẫu thuật hàm. Với phương pháp này, bác sĩ sẽ thực hiện cắt bỏ một phần xương hàm, sau đó di chuyển đến vị trí mong muốn và cố định lại.

Một số trường hợp răng chen chúc nặng và quá phát xương hàm, bác sĩ có thể chỉ định kết hợp cả 2 phương pháp phẫu thuật hàm và niềng răng. Như vậy sẽ giúp mang lại kết quả tối ưu, giúp bệnh nhân sở hữu gương mặt hài hòa, cân đối.
Trên đây là những thói quen sai lầm dẫn đến lệch khớp cắn bạn cần bỏ ngay. Hy vọng bài viết trên đây là giúp bạn nắm rõ cách khắc phục và ngăn ngừa tình trạng lệch khớp cắn. Mọi thắc mắc liên quan hãy liên hệ Hotline: 096.192.0606 để được các chuyên gia tư vấn miễn phí!
Xem thêm: Bảng Giá Dịch Vụ Niềng Răng – Nha khoa Lạc Việt Intech. Thông tin chi tiết và các gói khuyến mại theo vị trí từng cơ sở, thời gian đăng ký tái khám và theo từng loại mắc cài sử dụng.









