Sai khớp cắn là tình trạng sai lệch vị trí răng và xương hàm không chỉ ảnh hưởng đến chức năng mà còn tác động không tốt đến thẩm mỹ nụ cười và thẩm mỹ khuôn mặt. Dưới đây là các loại sai khớp cắn thường gặp mà chúng ta cần phân biệt để hiểu được tình trạng của bản thân mình.
Mục lục bài viết
ToggleKhớp cắn hô (vẩu) – Protruded teeth
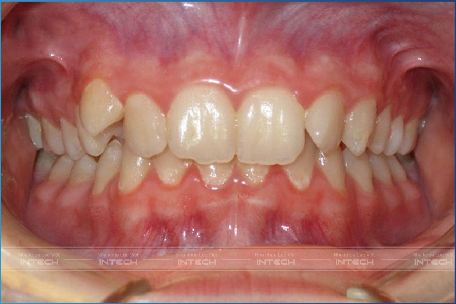
Khớp cắn hô (vẩu) là tên thường gọi của sai khớp cắn loại hai, biểu thị cho tình trạng răng và xương hàm trên nằm ở phía trước quá nhiều so với răng và xương hàm dưới. Biểu hiện của khớp cắn hô (vẩu) như sau:
- Xương hàm trên ở vị trí phía trước quá nhiều so với xương hàm dưới
- Trục răng cửa hàm trên ngả nhiều
- Độ cắn chìa lớn: nhóm răng cửa hàm trên cách xa nhóm răng cửa hàm dưới (lớn hơn 3mm)
- Khuôn mặt nhìn nghiêng: môi trên đưa ra phía trước
- Mặt thẳng: môi không khép kín ở tư thế thả lỏng, độ lộ răng cửa lớn

Khớp cắn ngược – Underbite
Khớp cắn ngược hay răng móm hoặc cắn chéo răng trước là tên thường gọi của sai khớp cắn loại ba, biểu thị cho tình trạng nhóm răng cửa hàm trên nằm ở phía sau so với răng cửa hàm dưới. Có nhiều biểu hiện của khớp cắn ngược, bao gồm:
- Răng cửa hàm trên nằm phía sau răng cửa hàm dưới
- Mặt nghiêng gãy, cằm đưa ra trước nhiều, môi trên lép, môi dưới nhô

Khớp cắn chéo – Cross bite
Ở khớp cắn bình thường, toàn bộ múi ngoài của răng sau hàm trên nằm bên ngoài răng sau hàm dưới, chúng không tiếp xúc với hàm dưới khi cắn khít. Vùng răng trước hàm trên có rìa cắn nằm phía ngoài răng trước hàm dưới khoảng 1-2mm. Nếu múi ngoài các răng phía sau hàm trên nằm ở trong so với múi ngoài răng hàm dưới thì được gọi là khớp cắn chéo răng sau.

Tương tự với vùng răng trước, nếu ta thấy rìa cắn răng trên ở phía sau rìa cắn răng dưới thì được gọi là cắn chéo răng trước, hay còn có một tên gọi khác là cắn ngược (đã được phân tích phía trên).
Khớp cắn đối đầu – Edge-to-edge bite
Đây là tình trạng rìa cắn các răng trước hàm trên tiếp xúc với rìa cắn răng trước hàm dưới khi hai hàm cắn chặt tại tư thế lồng múi tối đa. Đối với răng sau, các múi ngoài của răng hàm khi cắn chặt nếu chạm vào mặt nhai các răng hàm hàm dưới cũng được coi là khớp cắn đối đầu ở răng sau.
Tuy nhiên khi nhắc đến khớp cắn đối đầu mà không nói gì thêm, ta hiểu đây là tình trạng cắn đối đầu ở răng trước.
Khớp cắn này mang lại hậu quả rất nghiêm trọng cho sức khỏe răng miệng: gãy vỡ rìa cắn, sang chấn khớp cắn, tổn thương mô nha chu,…và cần được khắc phục sớm

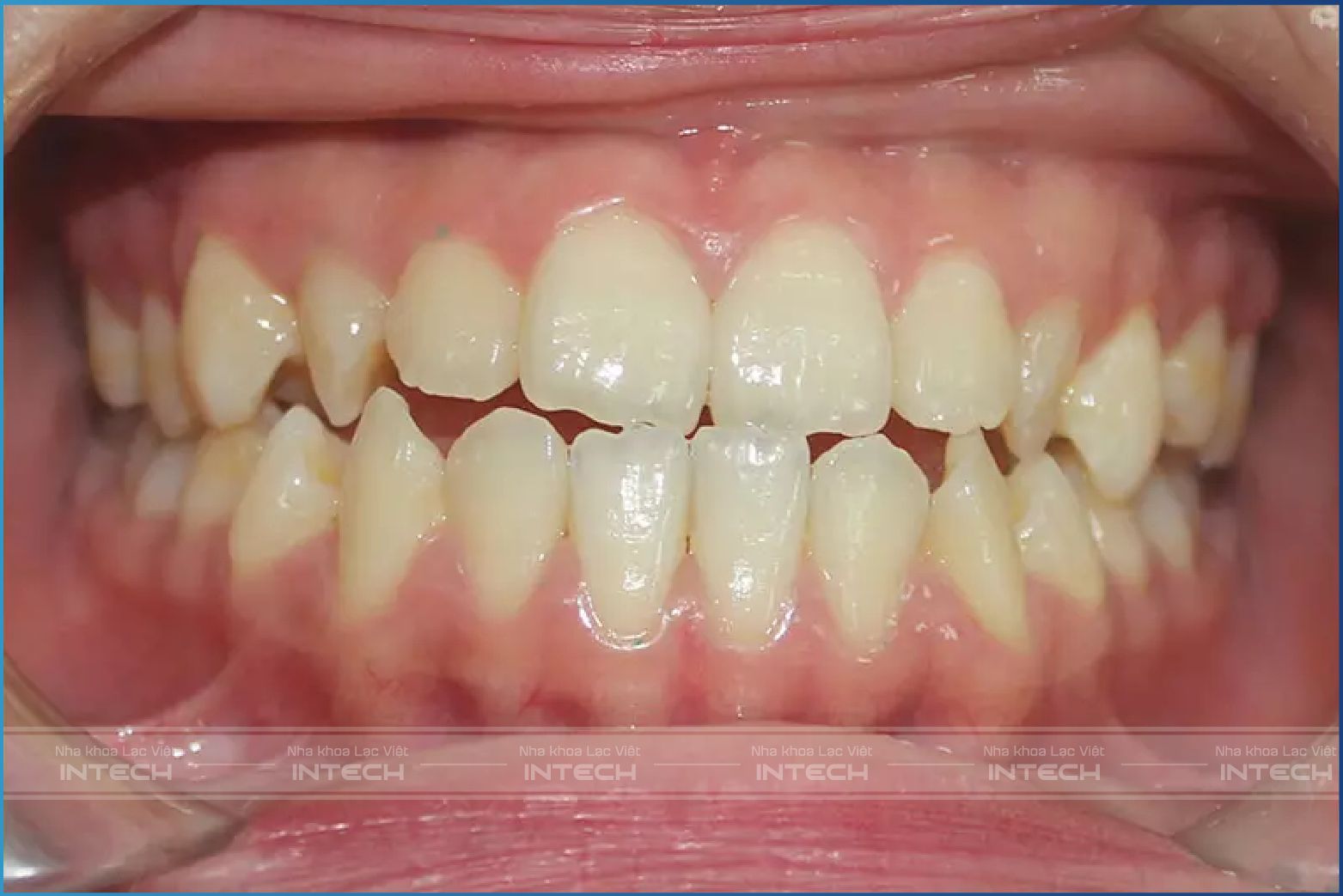
Khớp cắn sâu – Deep bite
Thông thường khi cắn chặt hai hàm, ở góc nhìn thẳng, bạn sẽ thấy răng cửa hàm trên của mình che khuất khoảng 1/3 thân răng cửa hàm dưới. Trong các trường hợp cắn sâu, phần răng cửa hàm dưới bị che khuất quá 1/3 thân răng.

Khớp cắn hở (Open bite)
Đây là tình trạng răng hai hàm không tiếp xúc với nhau khi cắn chặt. Khớp cắn hở có thể xảy ra ở nhóm răng trước hoặc nhóm răng sau.

Cắn hở răng trước thường gặp khó khăn nhiều trong hoạt động cắn xé thức ăn. Nó thường là hậu quả của các tật xấu liên quan đến răng miệng như: thở miệng, mút ngón tay, đẩy lưỡi,…
Trên đây là các loại sai khớp cắn thường gặp đòi hỏi tìm đến các giải pháp để điều chỉnh với mục đích cải thiện thẩm mỹ và chức năng. Niềng răng lệch khớp cắn là một trong những phương pháp vô cùng hiệu quả và an toàn cho các trường hợp nói trên.
Nếu bạn đang gặp vấn đề về khớp cắn, hoặc còn bất kì thắc mắc nào về chủ đề này, hãy liên hệ với chúng tôi để được giải đáp nhé!
Xem thêm: Bảng Giá Dịch Vụ Niềng Răng – Nha khoa Lạc Việt Intech. Thông tin chi tiết và các gói khuyến mại theo vị trí từng cơ sở, thời gian đăng ký tái khám và theo từng loại mắc cài sử dụng.









